پدر مهسا امینی صحت گزارش سازمان پزشکی قانونی ایران درباره علت مرگ دختر خود را رد کرد و آن را غیرقابل پذیرش دانست.
سازمان پزشکی قانونی ایران روز جمعه ۱۵ مهر با انتشار بیانیهای اعلام کرد که علت مرگ مهسا امینی «ناشی از اصابت ضربه به سر، اعضا و عناصر حیاتی بدن نبوده است».
ساعاتی پس از انتشار این بیانیه اما پدر مهسا امینی در گفتوگویی با بخش فارسی صدای آمریکا تاکید کرد که مشاهداتش از پیکر فرزند خود با گزارش سازمان پزشکی قانونی همخوانی ندارد و تحت هیچ شرایطی نمیتواند این گزارش را تایید کند.
امجد امینی گفت با چشمان خود دیده که روی پیکر دخترش، در ناحیه پشت گردن و گوش رد خون بوده و قسمت زیادی از بدن او از جمله پاهایش کبود شده بود.
وی افزود: «چطور میشود پذیرفت که مهسا مورد ضرب و شتم قرار نگرفته باشد؟»
در این بیانیه سازمان پزشکی قانونی که خبرگزاری دولتی ایرنا منتشر کرد با اشاره به «سابقه عمل جراحی تومور کرانیوفارنژیومای مغزی» مهسا امینی در سن هشت سالگی ادعا شده که او «دچار اختلال در محور مهم هیپوتالاموس ـ هیپوفیز و غدد تحت فرمان آن (از جمله آدرنال و تیروئید) شده و تحت درمان با «داروهای هیدروکورتیزون، لووتیروکسین و دسموپرسین» بوده است.
این بیانیه درباره لحظهای که مهسا امینی در محل برگزاری کلاسهای گشت ارشاد بیهوش شده، میافزاید که او «بهطور ناگهانی دچار افت هوشیاری شده» و با توجه به «بیماری زمینهای» «توانایی لازم جهت جبران و تطابق با وضعیت ایجاد شده را نداشته» بنابراین «دچار اختلال ریتم قلب و کاهش فشار خون و متعاقب آن کاهش سطح هوشیاری شده که به دلیل انجام عملیات احیای قلبی ـ تنفسی غیرمؤثر در دقایق حساس اولیه، دچار هیپوکسی شدید و در نتیجه آسیب مغزی شده است».
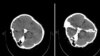
این گزارش در حالی منتشر می شود که خبرگزاری فارس -نزدیک به سپاه پاسداران- در روز ۲۸ شهریور، اصالت تصاویر سیتیاسکن مغزی مهسا امینی را که یک گروه هکری یافته و منتشر شده بود، تأیید کرده اما مدعی شده بود که «هیچ شواهدی از ضربه به سر و خونریزی در این تصاویر به چشم نمیخورد».
در آن زمان شماری از متخصصان از جمله رئیس شورای هماهنگی نظام پزشکی استان هرمزگان پس از بررسی این تصاویر، جانباختن مهسا امینی را از عوارض ناشی از ضربه مستقیم به جمجمه عنوان کرده بودند.
پس از اعلام خبر جانباختن مهسا امینی، مقامات جمهوری اسلامی ایران و رسانههای وابسته به حکومت همواره تلاش کردند، مرگ مهسا به دلیل ضربه واردشده به سر ناشی از ضرب و شتم نیروهای «گشت ارشاد» را رد و دلایل دیگری را در این باره مطرح کنند.
خبرگزاری فارس پیش از آن نیز علت مرگ مهسا امینی را «عارضه قلبی» عنوان کرده و مدعی شده بود که «او در پنج سالگی تومور مغزی عمل کرده و مبتلا به بیماری صرع و دیابت نوع یک بوده است».
این در حالی است که خانواده مهسا همواره با رد این ادعاها، تأکید کردهاند که او در زمان بازداشت کاملاً سلامت بوده است.
در این میان صالح نیکخت، وکیل دادگستری در تهران که وکالت خانواده امینی را به عهده دارد، ضمن انتقاد از روند رسیدگی به پرونده مهسا امینی به رادیوفردا گفته بود که یکی از مهمترین خواستهای وکلای پرونده مهسا امینی رسیدگی «متخصصان برجسته جراحی مغز و اعصاب و جراحی قلب و بیماری قلب» است که در حال حاضر «نه در استخدام دولت و نه در بخش خصوصی کار کرده باشند».
آقای نیکخت در این گفتوگو یادآور شده بود که در مراجعه به پزشکی قانونی به همراه امجد امینی، پدر مهسا، متوجه شده که سه چهار پزشکی که به پرونده رسیدگی کردهاند، متعلق به پزشکی قانونی نبودند و یک پزشک متخصص غدد که به اظهارنظر در مورد پرونده مهسا پرداخته، ارتباط «قتل مهسا به دلیل ضربه سخت به سر و گوش یا کاسه سر و جمجمه» را رد کرده است.
پیش از آن نیز عبدالصمد خرمشاهی، وکیل دادگستری «تسریع در صدور جواز تدفین» را از شبهات پرونده مرگ مهسا امینی عنوان کرده و ضمن «ابهامبرانگیز و شبههناک» خواندن آن گفته بود که جهت کشف حقایق بیشتر و بررسی مستندات توسط پزشکی قانونی، لازم بود جسد مهسا امینی کالبدشکافی میشد و علت تامه و نهایی مرگ او به اطلاع مردم میرسید.
 
 
 
 
 
 
 
 
