لینک‌های قابلیت دسترسی

خبر فوری
جمعه ۱۶ آبان ۱۴۰۴ تهران ۱۰:۰۹

آیا واقعاً بخشی از مغز رابرت کندی را کرم خورده است؟


سخنرانی کندی در میان هوادارانش، اردیبهشت ۱۴۰۳
سخنرانی کندی در میان هوادارانش، اردیبهشت ۱۴۰۳

رابرت اف. کندی، نامزد مستقل انتخابات ریاست‌جمهوری آمریکا، ادعا کرده که بر اثر ابتلا به‌ نوعی انگل بخشی از مغزش را کرم خورده است. او دربارهٔ چه موضوعی حرف می‌زند؟

هر بار که خیال می‌کنید هر آن‌چه ممکن بوده در عرصهٔ انتخابات ریاست‌جمهوری آمریکا رخ بدهد، تاکنون رخ داده و موضوع دیگری نمانده که شما را شگفت‌زده کند، باز هم خبری منتشر می‌شود تا یادآوری کند وقتی پای سیاستمداران در میان است، نباید چنین انتظاری داشت.

رابرت کندی جونیور سیاستمدار شناخته‌شده‌ای است که به‌عنوان نامزد مستقل وارد انتخابات ریاست‌جمهوری ۲۰۲۴ ایالات ‌متحد آمریکا شده است. کندی یکی از بازماندگان خاندان سیاسی کندی است؛ پسر رابرت کندی، دادستان کل اسبق ایالات ‌متحده، و برادرزادهٔ جان اف کندی، رئیس‌جمهور اسبق این کشور، و تد کندی، سناتور سابق آمریکا.

البته شهرت رابرت کندی جونیور بیش از آن‌که همانند پدر و عموهایش به‌واسطهٔ نقش مؤثرشان در حزب دموکرات باشد، به‌واسطهٔ نقشی است که به‌عنوان یکی از سخنگویان جریانات تئوری‌های توطئه و یکی از رهبران جریان مبارزه علیه واکسیناسیون بازی می‌کند. او همچنین بایدن و ترامپ را متهم به تبانی پنهانی کرده برای این‌که به او اجازهٔ شرکت در مناظرات انتخاباتی ندهند.

اگرچه نظرسنجی‌های فعلی نشان می‌دهد که او تأثیر چندانی در نتیجهٔ انتخابات پیش رو ندارد اما برخی کارشناسان هشدار داده‌اند که او ممکن است در ماه نوامبر و هنگام انتخابات به عاملی بدل شود که با شکستن آرای دیگر نامزدها در تعیین نتیجهٔ نهایی اثرگذار باشد.

آیا مغز کندی را کرم خورده است؟

شاید این سؤال شبیه حملات لفظی‌ای باشد که به‌طورمعمول از سوی ترامپ نسبت به رقبا و منتقدانش صورت می‌گیرد، اما این بار ترامپ نقشی در این ادعا ندارد. این ادعایی است که خود کندی در گفت‌وگو با روزنامه نیویورک تایمز مطرح کرده است.

کندی ۷۰ ساله که در رقابت با بایدن ۸۱ ساله و ترامپ ۷۷ ساله خود را به‌عنوان نمادی از سالم بودن و جوانی معرفی می‌کند، سابقهٔ بیماری‌های متعددی دارد. او سال‌ها با نوعی عارضهٔ قلبی مزمن دست‌به‌گریبان بود و در سال ۲۰۱۲ و در جریان شهادتی که در پروندهٔ طلاق خود ارائه داده بود، به مشکل حافظه و یادآوری موضوعات و همین‌طور ابتلا به مه‌گرفتگی ذهنی (عدم شفافیت فکری) اذعان کرده بود.

او حالا در مصاحبه با نیویورک تایمز اشاره می‌کند که اگرچه دیگر عوارض فراموشی و مه‌گرفتگی ذهنی ندارد اما دلیل وقوع آن این بوده که کرم (به عبارت بهتر نوعی انگل) بخشی از مغز او را خورده بوده است.

بر اساس گزارش‌های موجود در تصویربرداری از مغز کندی نشانه‌هایی از کیست‌های کوچکی دیده ‌شده که ممکن است نشانی از ابتلای او به ‌نوعی از انگل باشد. اما چه انگلی می‌تواند مغز انسان را بخورد؟

بچه‌انگل‌هایی که به مغز می‌روند

داستان کندی بهانهٔ خوبی برای نگاه به عارضه‌ای است که اتفاقاً بخش بزرگی از مردم در کشورهای کمتر توسعه‌یافته با آن دست‌وپنجه نرم می‌کنند.

به گزارش سازمان بهداشت جهانی، چیزی بین ۲.۵ تا ۸.۳ میلیون نفر در سراسر جهان به عارضه‌ای به نام نوروسیستی‌سرکوزیس مبتلا هستند. این بیماری زمانی رخ می‌دهد که بخشی از لاروهای گونه‌ای از انگل به نام Taenia solium وارد مغز می‌شوند و کیست‌های کوچکی را در بافت مغزی ایجاد می‌کنند. این انگل را بیشتر به نام کرم نواری می‌شناسیم.

نوروسیستی سرکوزیس رایج‌ترین بیماری انگلی است که سیستم عصبی مرکزی را تحت‌تأثیر قرار می‌دهد
نوروسیستی سرکوزیس رایج‌ترین بیماری انگلی است که سیستم عصبی مرکزی را تحت‌تأثیر قرار می‌دهد

این کرم‌ها در شرایط بلوغ می‌توانند تا طول دو تا سه متر رشد کنند و البته به شکل تاب‌خورده درون بدن باقی بمانند. اما این اتفاقی نیست که در مغز می‌افتد.

سازمان بهداشت جهانی اعلام کرده است که بیش از ۳۰ درصد از موارد وقوع حملهٔ صرع در کشورهایی که این حملات در آن شیوع دارد، نتیجهٔ ابتلا به این بیماری است و عمدهٔ مبتلایان را شهروندان کشورهای درحال‌توسعه تشکیل می‌دهند که با شرایط بهداشتی ضعیفی دست‌وپنجه نرم می‌کنند.

چطور این کرم وارد مغز می‌شود؟

جواب سادهٔ این سؤال این است که این کرم نمی‌تواند وارد مغز شود. برای این‌که ببینیم داستان چیست، باید روند انتقال این انگل را بررسی کنیم.

انگل Taenia solium یا کرم نواری عامل این بیماری عمدتاً در بدن خوک‌ها وجود دارد. اگر افرادی گوشت خوک را به شکل خام یا نیم‌پز مصرف کنند، ممکن است لارو (که شاید بتوانید آن‌ها را پیش‌کرم یا نوزاد انگل هم بنامید) وارد بدن ما می‌شوند.

اما آن‌ها پس از ورود به بدن انسان نمی‌توانند مستقیم راهی مغز بشوند. هدف اصلی آن‌ها دستگاه گوارش است و در آن‌جا رشد می‌کنند و بخشی از لاروهای تازهٔ آن‌ها از طریق مدفوع انسان به محیط برمی‌گردد. حالا اگر شخص دیگری به دلایل مختلف ازجمله شرایط بهداشتی نامناسب در معرض فضولات انسانی مبتلا به این انگل باشد، آن گاه این لاروها ممکن است گاهی در مسیرشان به سمت مغز راه پیدا کنند و در آن‌جا خانه کنند.

در عمدهٔ موارد این لاروها مشکل چندانی برای فرد ایجاد نمی‌کنند و می‌توانند چند سالی در مغز خانه کنند. عمدهٔ اثر آن‌ها در این دوره این است که آشیانه یا کیست‌های شفافی را در مغز ایجاد می‌کنند که چیزی در حدود یک سانتی‌متر قطر دارد و باز هم در اغلب موارد مشکل‌ساز نیستند. این بچه‌انگل‌ها توان رشد در مغز ندارند و تمام دوران اقامت‌شان در مغز به شکل لارو است.

اما در موارد خاصی این کیست‌ها می‌توانند وارد مایعات اطراف مغز یا CSF شوند و در مقابل یکی از منافذ جریان این مایعات قرار بگیرند که در این صورت شخص ممکن است دچار التهاب مغزی شود و اگر به‌سرعت تحت عمل جراحی قرار نگیرد، ممکن است منجر به مرگ او شود.

مشکل اصلی برای مبتلایان عموماً زمانی اتفاق می‌افتد که این لاروهای خانه‌کرده در مغز از بین می‌روند و در این هنگام ممکن است فرد با حملات عصبی و صرعی مواجه شود.

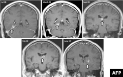
تصویر یک کرم نواری در اسکن‌های MRI مغز که چهار سال در مغز یک بیمار در بریتانیا زندگی کرده بود، ۲۰۱۴
تصویر یک کرم نواری در اسکن‌های MRI مغز که چهار سال در مغز یک بیمار در بریتانیا زندگی کرده بود، ۲۰۱۴
آیا این انگل در مغز باعث از دست دادن حافظه می‌شود؟

حداقل بر مبنای آن‌چه تاکنون از دانش پزشکی می‌دانیم، نشانه‌ای از این‌که این عارضه باعث از دست دادن چشمگیر حافظه شود، وجود ندارد. ممکن است بررسی‌های بیشتر موارد خفیفی از اختلال حافظه را تأیید کند اما این از ویژگی‌های این بیماری نیست.

اما ابتلا به این بیماری به‌طور غیرمستقیم می‌تواند باعث آسیب به مغز و حتی آسیب به روند حافظه شود و آن‌ هم زمانی است که این عارضه منجر به بروز حملات صرع‌مانند و تشنج‌های مداوم شود. ادامهٔ این حملات ممکن است بر توانایی مغز و ازجمله حافظهٔ ما اثر بگذارد اما این اثر مستقیم ابتلا به این انگل نیست.

در مورد آقای کندی اگر ادعای کم‌حافظگی او درست باشد، شاید علت اصلی به عامل دیگری برگردد. او در مصاحبه با نیویورک‌تایمز تصریح کرده که پیشتر به مسمومیت جیوه مبتلا شده است؛ مسمومیتی که احتمالاً استفادهٔ افراطی از ماهی‌هایی که در آب‌های آلوده به فلزات سنگین زندگی می‌کردند، باعث آن بوده است.

یکی از عوارض رایج و شایع مسمومیت جیوه از دست دادن موقت حافظه و دشواری در یادآوری است و با توجه به این‌که تشخیص ابتلا به انگل و مسمومیت جیوه در کندی همزمان صورت گرفته بوده، ممکن است این مشکلات شناختی ناشی از مسمومیت جیوه بوده باشد.

بالأخره آیا کرم مغز آقای کندی را خورده است یا نه؟

علاقه به خوردن مغز معمولاً از ویژگی‌های زامبی‌های تخیلی است و خوشبختانه فعلاً نمونه‌ای از انگل شایع خورندهٔ بافت مغزی پیدا نشده است. آن‌چه این انگل یا به عبارت بهتر لارو آن در مغز ایجاد می‌کند، همان کیست‌های کوچکی هستند که در اکثر موارد خطری برای شخص به همراه ندارند.

این لاروها نه تنها کرم بالغ نیستند که مغزخوار هم نمی‌توانند باشند. اما فراتر از مورد آقای کندی، مسئلهٔ این ابتلاها مسئله‌ای جدی است که مانند بسیاری از بیماری‌هایی که کم‌وبیش در کشورهای درحال‌توسعه رایج است، کمتر به آن‌ها توجه می‌شود.

تشخیص این ابتلا نیازمند تصویربرداری از مغز و همین‌طور انجام برخی آزمایش‌های خاص است که پاتوژن‌های ویژهٔ این ابتلا را بررسی می‌کنند، اما بسیاری از مبتلایان نه‌تنها دسترسی به این ابزارها ندارند که از حداقل‌های شرایط بهداشت عمومی نیز بی‌بهره‌اند.

در بقیه موارد و اگر شما در جایی زندگی می‌کنید که ناچار به تماس با محیط‌های آلوده نیستید، توصیهٔ اصلی این است که غیر از رعایت بهداشت شخصی، از خوردن گوشت نیم‌پز یا خام خوک خودداری کنید و حتماً این گوشت را پیش از مصرف به‌طور کامل بپزید تا احتمال ابتلا به این عارضه را به حداقل ممکن برسانید.

XS
SM
MD
LG